研究業績(Academic achievements)
研究業績(Academic achievements)
大阪国際会議場(グランキューブ大阪)において2026年5月11日から15日まで開...
研究業績(Academic achievements)
The “Featured Articles 2026”, KONA Powde...
研究業績(Academic achievements)
Tanaka, T.,Kawaguchi, T., Tsuji, T., Was...
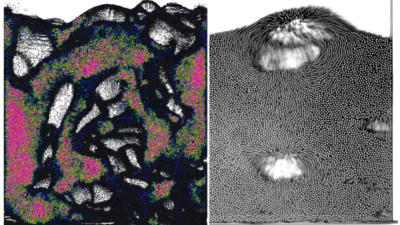
研究(Study)
粒子系混相流研究室(田中研究室)は、2025年4月に開設された追手門学院大学理工...
